Steven E. Cross, DDS

532 Baltimore Pike

Springfield, PA 19064

(610) 328-6618


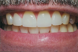
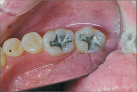
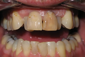
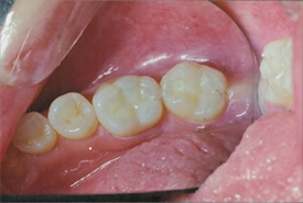
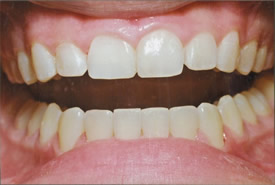
Smile Gallery


Before and After

We welcome you to browse the gallery below to see how cosmetic dentistry can improve your smile. Call our office to schedule a consultation to see what Dr. Cross can do for you!